LE Poignet

Le poignet est l’élément essentiel à la fonction et à la stabilité de la main. Sa situation, entre l’avant-bras et la main, lui confère un rôle majeur : il transmet à l’avant bras les forces et la puissance appliquée à la main.

Le massif carpien a une géométrie variable. Le jeu des ligaments et des os permet de remplir les fonctions de flexion- extension, adduction-abduction, mais aussi de prono-supination.

Articulations du poignet et des os du carpe

Traumatologie - Fractures

Constitué des deux os de l’avant bras (radius et ulna) et des huit os du carpe, la physiologie du poignet est complexe. La première rangée des os du carpe s’articule en proximal avec le radius et le ligament triangulaire. En bas, le carpe s’articule avec les cinq métacarpiens.

Fracture du poignet

Par fracture du poignet, on entend généralement fracture de l’extrémité inférieure du radius. Elle est la forme la plus fréquente des fractures du poignet, souvent conséquente à une chute sur la main.

Le traitement :

L’intervention :
Mise en place d’une petite plaque dite à vis verrouillée qui stabilise la fracture et autorise une reprise précoce de la fonction par de petits mouvements.
Intervention réalisée sous anesthésie locale et en ambulatoire. Elle consiste en une courte incision au niveau du poignet.

Le suivi post-opératoire :

Le travail de force est proscrit durant 3 mois afin d’obtenir une bonne consolidation. Le matériel est laissé en place dans 90 % des cas. Il sera ôté en cas de gêne, après consolidation et après une évaluation à 6 mois.
Ce type de traitement donne de très bons résultats. Le poignet sera gênant et gonflé durant 3 à 4 mois. 10 % des patients peuvent présenter des phénomènes douloureux importants, exubérants, avec tuméfaction de la main et raideur des doigts et du poignet, appelé algodystrophie.

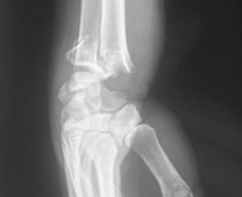
Fracture de l'extrémité du radius
Radio post opératoire - plaque de radius
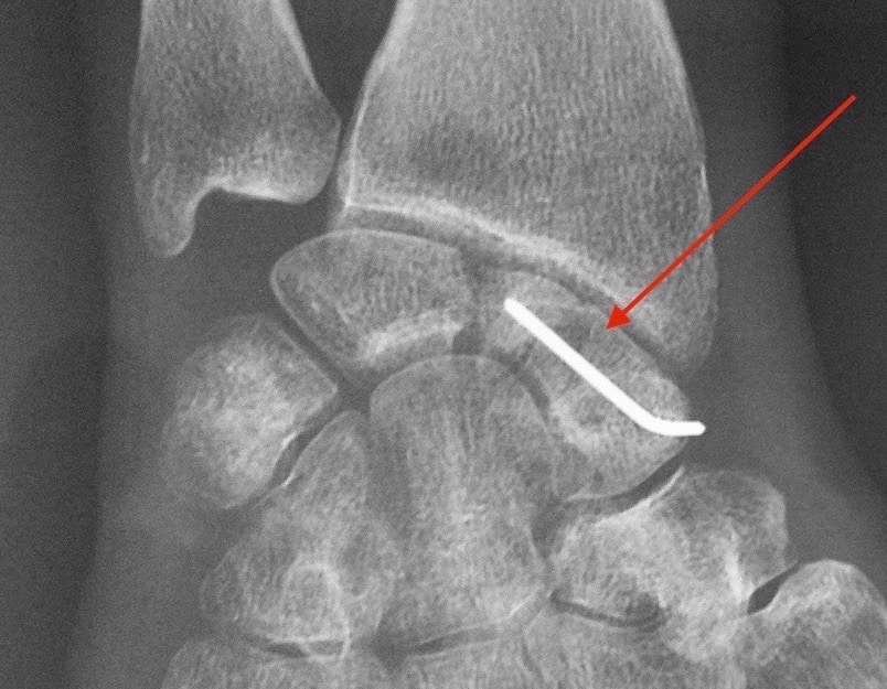
Vissage du scaphoïde

Fracture du scaphoïde

Le scaphoïde est un des os du carpe du poignet. Pièce maîtresse, véritable clef de voûte du poignet, il peut être le siège de fracture à la suite d’une chute sur la main. Cette fracture, peu douloureuse, passe parfois inaperçue ou est assimilée à une entorse et le patient ne consulte pas de spécialiste. Le diagnostic exige des clichés radiographiques à 15 jours d'intervalle, ou un scanner, qui permet plus sûrement de confirmer la fracture du scaphoïde.

Traitement envisagé :

Pseudarthrose du scaphoïde

Suite à une fracture du poignet, du fait de sa vascularisation particulière, si la fusion des pièces osseuses ne se fait pas, on parle de pseudarthrose du scaphoïde. Il s’agit d’une absence de consolidation des deux morceaux du scaphoïde Au-delà des délais habituels (6 mois), douleur et parfois gonflement du poignet invitent à un bilan radiographique, afin d’établir le diagnostic. Lorsqu’il est confirmé, un scanner et une IRM sont nécessaires afin d’établir le stade selon de l’affection et l’état de vascularisation de la partie haute du scaphoïde.

Traitement chirurgical
Il est discuté avec le patient en fonction de son âge et de l’évolution de la pathologie.
L’intervention est complexe, réalisée par un spécialiste du membre supérieur, il peut s’agir d’une greffe prélevée au niveau du bassin ou d’une greffe amenée avec une artère prélevée au niveau du poignet (greffon vascularisé).

Si les dégâts occasionnés dans le poignet sont trop importants et une arthrose est déjà présente, une chirurgie palliative est proposée, discutée au cas par cas, elle peut consister en une ablation du scaphoïde avec une fusion des os adjacents, ou une ablation du scaphoïde et des deux os de la première rangée. Les suites de ces traitements sont longues, environ 6 mois. Cette intervention est à discuter en fonction des dégâts, de l’âge et du travail du patient.

Ligaments à l'IRM

Lésions ligamentaires

Les lésions ligamentaires font suite à une chute sur la main poignet en extension, ou un traumatisme en torsion. Symptômes de poignet douloureux, enflé et perte de force sont révélateurs. Examen clinique, interrogatoire et radiographie, permettent de poser le diagnostic d’une lésion ligamentaire. Le scanner permet de le confirmer et de constater une perforation éventuelle.

Trois ligaments peuvent être atteints :

Traitements envisagés au cas par cas :

Pathologies des tendons

Tendinite de Quervain

Il s’agit d’une inflammation des tendons permettant d’étendre et d'écarter le pouce. Ces tendons, provenant de l’avant bras, cheminent sur le bord externe du poignet pour rejoindre le pouce. Lors de mouvements répétés, professionnels ou sportifs, il arrive que les tendons s’enflamment à ce niveau. Les douleurs sont localisées sur le côté du poignet liées à un gonflement des tendons. Le diagnostic est à confirmer par échographie.

Le traitement médical associe repos, immobilisation avec attelle, pommades et médicaments anti-inflammatoires.
Une adaptation du poste de travail est à envisager lorsque cela est possible.
Une infiltration de cortisone est possible si le traitement de base ne suffit pas, en cas d’échec de ces traitements, une chirurgie est proposée. Le chirurgien, par une courte incision sur le côté du poignet, va ouvrir la poulie et dégager les deux tendons de cette zone de frottement.
Intervention réalisée sous anesthésie locale, en ambulatoire.

Le suivi post-opératoire prévoit :

Reparage pré-opératoire
Kyste synovial

Affection synoviale

Kyste synovial

Il s’agit d’une pathologie bénigne qui concerne tous les âges, autant la femme que l’homme. Une boule sur le dos du poignet ou en avant de celui-ci est révélatrice. Il s’agit d’un kyste rempli de liquide visqueux, servant à lubrifier l’articulation. Il est responsable d’un poignet douloureux lorsqu'il se gonfle et que la paroi est tendue. Il a pour origine des activités répétées.
Le traitement préconisé est du repos et le port d’une attelle de poignet. Le kyste disparaît généralement naturellement, avec une simple surveillance (sous 4 mois). Ni ponction, ni infiltration, ni pression n’est à pratiquer pour le faire céder. Elles pourraient être source d’infection et/ou de récidive.
Le traitement chirurgical est envisagé en cas de persistance et gêne mécanique. L’acte, pratiqué sous anesthésie locale, en ambulatoire, est une courte incision. Le chirurgien enlève le kyste qui sera analysé.
Suites opératoires : Pas de point à enlever, la main sera mouillée 10 jours plus tard. Une attelle est préconisée durant 10 jours, afin de mettre le poignet au repos. L’enjeu est de récupérer la souplesse du poignet, pour cela, quelques séances de rééducation sont prescrites.
Récidive observée pour 10 % des cas.

CONSULTATIONS

CENTRE DE CONSULTATIONS DE L'HÔPITAL PRIVÉ
Arnault TZANCK
80 allée des Ormes - 06254 Mougins Cedex
Secrétariat des consultations
Tél. : 04 97 16 68 68