La Main

Située à l'extrémité distale de l’avant bras et reliée à celui-ci par le poignet, la main est l’organe de préhension par excellence. Les cinq doigts de la main contribuent à ses fonctions pour saisir des objets et les manipuler. Mais la main est aussi un outil de communication, par le langage des signes elle est un moyen d’expression.
Composée de 27 os, animée par de nombreux tendons et muscles commandés par des nerfs, l’anatomie complexe de la main permet une grande palette d’actions. Outil essentiel de l’homme, la main est exposée à de nombreux risques d’accidents domestiques, professionnels et sportifs. La préhension associant force et dextérité expose avec le temps la main à des tendinites ainsi qu'à des pathologies dégénératives (arthrose).

Fractures

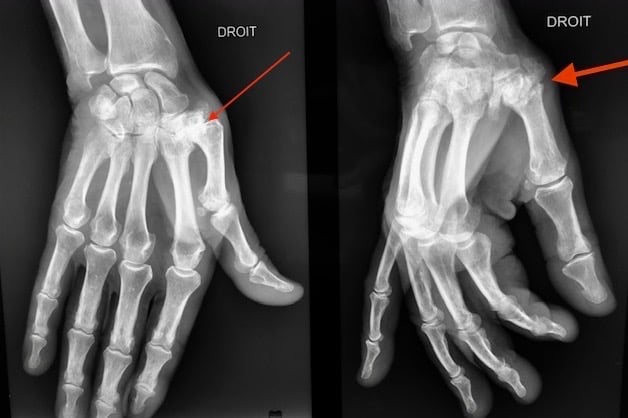
Exposée facilement au traumatisme, la main est fréquemment le siège de fractures au niveau des métacarpiens ou des phalanges. Pour les os du carpe voir la rubrique “Poignet”.

Les fractures de la main, lorsqu’elles sont stables et non ou peu déplacées et sans trouble de rotation, reposent le plus souvent sur un traitement fonctionnel et/ou orthopédique. Il va d’une simple immobilisation type syndactylie ou avec une attelle de posture à l'immobilisation en position dite intrinsèque plus (position de fonction limitant les risques de raideur). La durée d’immobilisation est généralement de 3 à 6 semaines, afin de limiter les risques de raideur.

Les fractures ouvertes, ou déplacées avec troubles de rotation seront traitées chirurgicalement. Le choix du traitement chirurgical est fonction de l’os atteint, du siège et du type de fracture.
Schématiquement, la stabilisation après réduction de la fracture est faite soit par broche soit par plaque. Cette chirurgie réalisée en ambulatoire sous anesthésie du bras, doit permettre une rééducation précoce afin de restaurer la fonction de la main. Des pansements sont à faire réaliser par infirmière durant deux à trois semaines. La rééducation sera donc précoce afin de limiter la raideur.
L’arrêt du sport est nécessaire durant 3 mois et tout effort à éviter également sur cette même durée.

Le matériel sera ôté en cas de gêne et dès la consolidation osseuse obtenue. Les plaques peuvent parfois irriter les tendons et donc nécessite l’ablation de par la gêne.
Les complications possibles sont la raideur, l’échec de consolidation, l’infection et l’algodystrophie.

Anatomie de la main
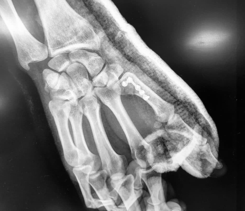
Brochage fracture
Plaque M1
Plaque P1
Différentes plaques des os de la main

Pathologies nerveuses

Syndrome du canal carpien

Également appelé syndrome du tunnel carpien, cette pathologie nerveuse est très fréquente, elle se caractérise par une compression du nerf médian dans son canal naturel. Le nerf médian chemine par le canal avec neuf tendons reliés aux doigts. La compression du nerf apparaît avec le temps. Elle est due soit à une rétraction du contenant c'est à dire l’espace délimitant le canal soit à une augmentation du contenu c’est à dire les tendons.

Symptômes
La compression du nerf médian a pour effet des sensations de fourmis dans les trois premiers doigts (paresthésies des pouce, index et majeur), des douleurs, des doigts tuméfiés, voire d’une disparition de la sensibilité. Ces symptômes sont majorés la nuit. L’examen et certains tests cliniques permettent de poser un diagnostic. Peu d’examens complémentaires sont nécessaires lorsque le diagnostic est typique.
Une radiographie du poignet complète le bilan en cas d’antécédent traumatique, une échographie permet quant à elle de mettre en évidence une inflammation des tendons ou un kyste que l’on pourrait suspecter.
L’électromyogramme, examen de référence, confirme le diagnostic et établit le degré d’atteinte.

Traitement :

Vue du canal carpien
Intervention visant à libérer le canal carpien

Suites opératoires : Les pansements sont réalisés durant 15 jours, délai au delà duquel la main peut être mouillée. La main peut être utilisée librement dès le lendemain de l’intervention et en fonction de la douleur. Un arrêt de travail est prescrit au cas par cas, dépendant du contexte et de l’emploi.
La chirurgie supprime les symptômes dans les heures qui suivent, mais en cas d’atteinte sévère ou d’anesthésie permanente des doigts de nuit comme de jour, la récupération peut être plus longue (plusieurs mois). Un RV de contrôle est à prévoir à 3 semaines de l’opération.

Pathologies dégénératives

Rhizarthrose

L’arthrose de la base du pouce, liée à une dégénérescence de l’articulation de la base du pouce est en rapport avec la fonction même du pouce, à savoir la force de préhension. Cette usure naturelle est parfois responsable de douleur et de raideur. Certains patients ont d’authentiques rhizarthroses asymptomatiques.
Afin de calmer la douleur, un traitement médical est toujours de mise : antalgique, anti-inflammatoire et compléments alimentaires contre l’arthrose.
Le port d’une attelle nocturne permet de maintenir le pouce au repos. Une infiltration est également possible.
En cas d’inefficacité, une chirurgie peut être proposée. Il s’agit d’une courte intervention, en ambulatoire, par incision et sous anesthésie locale. Désormais, le traitement de choix est la pose d’une prothèse. D’autres interventions sont possibles, à discuter au cas par cas.
Lorsqu’une prothèse est mise en place, les résultats observés sont très bons. Le pouce est immobilisé par une attelle amovible 45 jours. Des pansements sont prescrits durant deux semaines. Au-delà de ces 2 semaines, la main peut être mouillée et l’auto rééducation est mise en place. Elle repose sur deux mouvements de rotation des pouces et d’opposition des doigts.

Siège de la rhizarthrose
Prothèse rhizarthrose
Kyste mucoïde

Arthrose digitale

Avec le temps, l’utilisation en force et en préhension de la main peut entraîner une usure au niveau des articulations des doigts longs. Celle-ci se traduit par une tuméfaction, une déformation, des douleurs et parfois l’apparition de kystes. Toutes ces lésions sont longtemps bien tolérées. La chirurgie est rare.

Le kyste mucoïde, situé sur la face dorsale de la dernière articulation du doigt, est peu gênant et ne nécessite qu’une simple surveillance. S’il est volumineux, gênant ou qu’il déforme l’ongle, une chirurgie est réalisée, par une courte incision sous anesthésie locale, en ambulatoire.
Les suites opératoires sont le plus souvent simples avec quelques pansements et le doigt peut être mouillé dès 10 jours. Le doigt sera tuméfié entre 2 et 3 mois.

Lorsque la déformation de la dernière articulation du doigt est douloureuse et raide, la pose d’attelle digitale (orthèse) est prescrite. En cas d’inefficacité et le chirurgien peut proposer une arthrodèse, à savoir une intervention chirurgicale visant à fusionner l’articulation altérée par l’arthrose. Cette intervention est à envisager au regard de la balance bénéfices-risques. Il s’agit d’une opération Quelques soins post-opératoires sont nécessaires, notamment de protéger le doigt, le temps d’obtenir une fusion rendant le doigt indolore. Ce doigt sera tuméfié durant 3 mois environ.

Enfin lorsque l’arthrose concerne la première articulation des doigts longs et après échec du traitement médical, la chirurgie est proposée lorsque le doigt commence à raidir. Cette arthroplastie consiste à mettre en place une prothèse, elle permet de rétablir la mobilité et l’indolence de l’articulation. L'intervention est réalisée en ambulatoire. Après quoi une attelle de protection dynamique est mise en place pour 45 jours. Le doigt reste tuméfié environ 3 mois.

maladie de Dupuytren

Cette maladie héréditaire à prédominance masculine affecte la paume de la main et entraîne, avec le temps, une rétraction des doigts.
Il s’agit d’une maladie du tissu sous cutané qui s’accompagne généralement d’un nodule simple, qui évolue avec le temps allant jusqu’à l’apparition d’une bride. D’évolution lente, cette bride se rétracte progressivement et attire le doigt en flexion. Elle touche principalement l’auriculaire, l’annulaire et le pouce mais peut toucher les autres doigts. Elle ne relève d’aucun traitement tant que le patient peut mettre sa main à plat. Dès que le ou les doigts se rétractent, un traitement chirurgical est proposé.

Deux solutions sont possibles :

Maladie de Dupuytren

CONSULTATIONS

CENTRE DE CONSULTATIONS DE L'HÔPITAL PRIVÉ
Arnault TZANCK
80 allée des Ormes - 06254 Mougins Cedex
Secrétariat des consultations
Tél. : 04 97 16 68 68